Dental Laboratory Sunshine Coast
Aesthetically Focussed
Digital Craft
Prosthetic Design
Our Dental Lab Supports Restorative Work
For clinics on the Sunshine Coast, access to a responsive dental laboratory can make day-to-day restorative work run far more smoothly. At AB Esthetic Dental Laboratory, we support Sunshine Coast dentists through a broad range of dental services, including veneers, crowns, implant restorations and diagnostic planning.
Our work is backed by modern dental equipment, including digital scanning, design software, milling and 3D printing, allowing us to support cases of varying complexity.
From single restorations through to full-arch work, we focus on structured workflows and practical collaboration. To discuss Sunshine Coast case support, contact us on (07) 5632 5610.
Send Us a Message on the Sunshine Coast
Thank you for contacting AB Esthetic Dental Laboratory.
We will get back to you as soon as possible.
Oops, there was an error sending your message.
Please try again later.
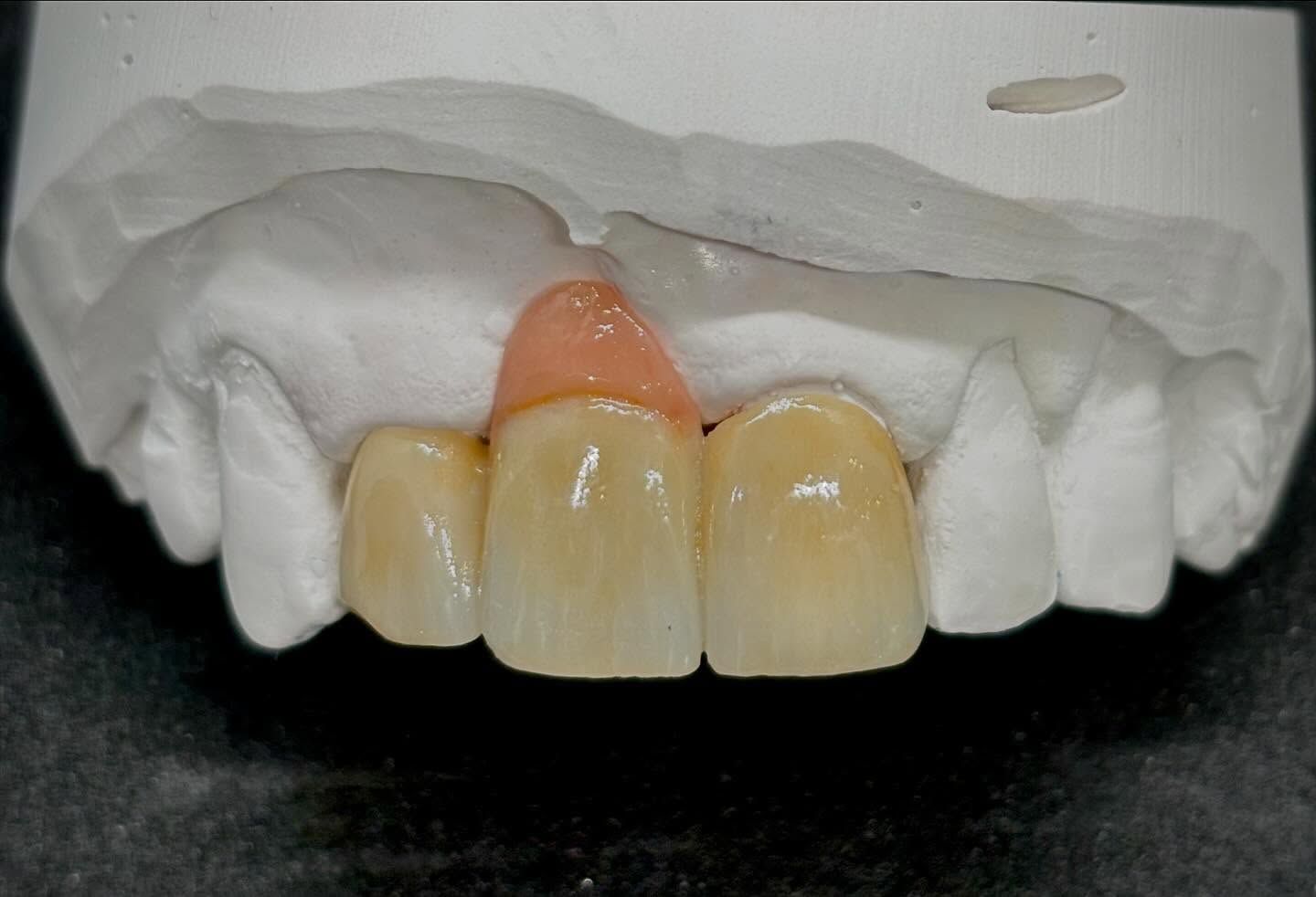
Veneers on the Sunshine Coast
Veneers for Sunshine Coast patients benefit from early planning around form, surface texture and shade. Diagnostic wax-ups and design previews help dentists assess proposed changes before fabrication begins.
Veneers are produced using digital and analogue techniques depending on restorative requirements, supporting controlled thickness and margin accuracy. Shade assessment may be included for visible cases, helping restorations align with surrounding dentition and patient expectations before final production proceeds.
Crowns on the Sunshine Coast
Sunshine Coast crown cases are produced using e.max or zirconia, selected to suit functional and aesthetic needs. Digital workflows support accurate internal fit and margin design, while laboratory finishing allows refinement of surface detail and shade.
This approach supports smoother fitting appointments for dentists and predictable outcomes for patients, particularly across posterior and anterior restorations requiring material-specific considerations.
Implant Crowns on the Sunshine Coast
Implant crowns for Sunshine Coast practices are designed to support restorative spacing and emergence profile requirements. Digital design workflows allow clinical information to be translated into prosthetic components with controlled parameters.
Shade matching assessment may be used for implant crowns in visible areas, supporting a more natural visual transition. These processes help support efficient fitting appointments and stable restorative outcomes.
All-on-X Zirconia on the Sunshine Coast
All-on-X zirconia restorations for Sunshine Coast cases are supported through structured digital planning and fabrication stages. Full-arch designs are reviewed before milling, with attention given to framework structure and restorative spacing.
Our zirconia fabrication supports strength and long-term wear considerations, helping dentists manage full-arch implant cases with greater predictability during restorative delivery.
Diagnostic Wax-Ups on the Sunshine Coast
Our diagnostic wax-ups support dentists across the Sunshine Coast by providing visual references during restorative planning. Wax-ups allow proposed changes to be assessed before final fabrication, reducing uncertainty later in treatment.
Both digital and analogue options are available depending on case complexity. For patients, wax-ups help clarify expectations, while dentists benefit from clearer guidance during restorative preparation and sequencing.
Milling Machine on the Sunshine Coast
Our milled restorations for Sunshine Coast cases are produced from approved digital designs, supporting accurate fabrication of crowns, bridges and implant components. Our milling machine allows key design parameters to be maintained throughout production.
Combined with laboratory finishing, our milling machine supports fit accuracy and surface refinement, helping restorations seat more efficiently during clinical appointments.
3D Printed on the Sunshine Coast
3D printing helps Sunshine Coast dentists with restorative workflows through the production of models and planning aids. Printed components provide physical references that assist with preparation checks and restorative review.
Our 3D printing helps dentists visualise restorative design more clearly, while supporting efficient progression from planning stages into final fabrication without unnecessary delays.
PrograScan PS5 on the Sunshine Coast
PrograScan PS5 scanning supports Sunshine Coast oral health cases by capturing detailed impressions and models for digital design. The high-resolution scanning assists with margin clarity and surface detail, supporting prosthetic planning.
Our PrograScan data forms the foundation for patients' crown, bridge and implant designs, which can be used during subsequent fabrication stages.
Exocad Software on the Sunshine Coast
Exocad software supports Sunshine Coast restorative cases by providing detailed control over prosthetic design. Adjustable parameters allow technicians to manage the thickness, contour and spacing in line with clinical requirements. Designs can be reviewed and refined before any fabrication begins.
For dentists, this design control helps ensure restorations align with preparation and occlusal considerations. For patients, it supports restorations that feel more natural once placed. The ability to review designs early helps minimise unexpected adjustments during final fitting appointments.
3Shape Software on the Sunshine Coast
3Shape software supports Sunshine Coast workflows by managing digital case data and scan integration across restorative processes. It assists with design review and implant-related planning, particularly where multiple digital inputs are involved.
Integration with scanning and fabrication systems helps maintain continuity between planning and production stages. For patients, this helps reduce delays and uncertainty during the restorative phase by supporting the translation of clinical data into finished prosthetics.











